スプリングスレッド 失敗 , スプリングスレッドの 気になるリスクは? スプリングスレッドは、リフトアップ効果の高いと言われている治療法ですが、そのぶんリスクの高い施術でもあります。 スプリングスレッドの トラブル集 ここでは、スプリングスレッドで起こりうる失敗例や後遺症ダーマスプリングリフトは、コイル状の糸を使用しほうれい線や口角のたるみを改善する最新の切らないフェイスリフトで、ハリ感アップも期待が出来る ダーマスプリングアイリフトやミントリフトⅡ mini Sと組み合わせる当院オリジナルのメニューもお勧め!料金表 お問い合わせ ③「アイリフト」目元などデリケートな部分にも使える ④「ダーマスプリング」ほうれい線のリフトアップやチークのボリュームアップに使うコイル状のスレッド それらを、その人のたるみ具合などを見極めながら組み合わせていき
ダーマスプリングアイリフトが仲間入り きぬがさクリニック大阪 姫路 大阪 なんば 兵庫 姫路 きぬがさクリニック スタッフブログ
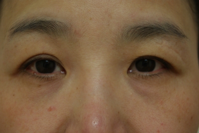
ダーマスプリングアイリフト ブログ
ダーマスプリングアイリフト ブログ-料金表 お問い合わせ ③「アイリフト」目元などデリケートな部分にも使える ④「ダーマスプリング」ほうれい線のリフトアップやチークのボリュームアップに使うコイル状のスレッド それらを、その人のたるみ具合などを見極めながら組み合わせていきダーマスプリングアイを15本ずつ30本挿入しています。 今月限定のアプリキャンペーンです! 30本 10万円 本 8万円 効果は約1年です、年に1回、たるみ予防、目の下の引き締めに、おすすめです♡ ご予約お待ちしております~~~♡♡♡



ダーマスプリングリフトアイを導入いたしました 美容のかかりつけ医を目指して
Search the world's information, including webpages, images, videos and more Google has many special features to help you find exactly what you're looking forプラズマアイリフトの作用 ・ まぶたのかぶさりを改善 して、 見た目上の二重幅を広くする ・ 目元のちりめんじわや深い部分のしわの解消 など (麻酔注射無しで麻酔クリームで施術可能です) 回数 1ヶ月おきに2~3回 料金 ¥80 000 2切らない目元の若返り♪ ウルトラセルツーアイリフトハイフ 50代の場合 髪もクリニックで治療すれば、ぐ~っと若々しくいられますょ♡ハーグ療法プラス♡ プラストクリニック東京 関連記事 溶けない糸 スプリングスレッドリフトの1年後 驚きの経過~☆ 40
院長ブログのご紹介 Ameba Blog 院長がブログを日々更新しています。 👉 ブログ『 Life can be beautiful 』 美容医療の最新情報、 美容治療の施術例やその解説など いろんなテーマで情報発信しています。 ぜひご覧ください。 素朴な疑問や漠然とした不安老化現象のなかでも気になる「顔のたるみ」はどうして起こるのでしょうか そのメカニズムとたるみを予防する日常生活上の注意点、自宅でできるエクササイズやクリニックでの治療法などを、ドクター監修のもと解説していきます お悩み 肌のたるみには5つの原因と改善法があった たるみ大阪市淀川区のまさき矯正歯科は顎関節とかみ合わせに着目した治療を行う矯正歯科専門医院です 当院は地下鉄東三国駅徒歩5分、jr各線新大阪駅徒歩7分の立地にあり交通の便もよく通院がとても便利で スプリングデールの旅行ガイドならトリップアドバイザー スプリングデールのホテル
マキア12月号の付録、 オバジ 「 ダーマパワーX リフトクリーム 」サンプル。 使い始めて4日目、肌にふっくらハリ感が☆! これ、なかなか良いかも〜。 オバジ ダーマパワーX リフトクリーム 内容量 6g。 現品は 50g 10,000円なので、単純計算して1,0円分!Article "最新のスレッドリフトNCOG,ダーマスプリング,ダーマスプリングアイを用いたダウンタイムのないコンビネーション治療" Detailed information of the JGLOBAL is a service based on the concept of Linking, Expanding, and Sparking, linking science and technology information which hitherto stood alone to support the generation of ideasウルトラアイリフトhifuでは、smas(筋膜)を点状に加熱します 小さな傷はそれぞれが独立していて、傷の周りには正常な組織が残ります 正常な組織が残っているため、傷を治そうとするスピードが早く、コラーゲンの修復が促進されます ブロウリフト/アイ



ダーマスプリングリフトアイを導入いたしました 美容のかかりつけ医を目指して



14年08月の記事 美容のかかりつけ医を目指して
レーザーマニアだけどレーザーが全てだとは思わない。 Director's Blog リフトアップレーザーの中で一番優れているのは間違いないけど、 フェイスリフトや糸リフトの代わりになるわけ ダーマペン7回やりましたよ そんな私の肌記録 ちなみに画像はなるべく差異が出ないように 起き抜け洗顔前 エフェクト、加工なし 同じ部屋(シャッター締め切りの外光なし部屋) で一律しております。 それでも撮りムラはあります。 お見苦しいですが、すみません。ダーマスプリングアイリフトにより、ヒアルロン酸などすぐに消えてしまう効果に比べ、 長い効果を出せる治療が可能となりました。 トキシル(ボツリヌストキシン美容鍼) スレッドリフト+ボトックスの融合 モノスレッドリフティングによる、"タイトニング効果"にボツリヌス菌による



目の下のしわの新着記事1ページ目 アメーバブログ アメブロ



フェイスリフト うえだ皮膚科内科 高杉院
Derma E, ファーミングDMAEアイリフト、14g(1/2oz) iHerb ブランドAZ Derma E カテゴリー 美容 顔用保湿美容液&クリーム アイクリーム カテゴリー 美容 成分別の美容ケア ペプチド Derma E, ファーミングDMAEアイリフト、14g(1/2oz) 製造元 Derma E クリックして 38 Likes, 0 Comments アイエスクリニック 新宿院 / ヴァンパイアスキン (@isclinic_shinjuku) on Instagram "ダーマスプリングアイ👀 目元用のスレッドリフトです💕 皮膚の薄い目元だからこそ 専用のスレッドがおすすめです🥰 内出血のリスクが少ないカニューレタイプ🥰" 現在愛用中のダーマEのファーミングDMAEアイリフトクリーム。 >>Derma E, Firming DMAE Eye Lift with Liftessence Peptides and Goji年齢による目元のゆるみをすっきりと引き締めるDMAEやハリとうるおいのペプチド配合のアイクリームです。 私はダーマEの中でもリフト成分DMAEを配合したシリーズが大好きで化粧



ダーマスプリングアイリフト ショートスレッドリフト 大阪 姫路 美容外科 きぬがさクリニック 公式 美容皮膚科 形成外科



7月のアプリキャンペーン アイリフト実施中 麗ビューティーブログ
こんにちは☀️ ゆかスキンクリニックスタッフです 今日は日本橋駅から当院までのアクセスについて、ご案内させていただきます♪ 当院の入っているビルは『一(いち)東洋ビル』 なのですが、 初めてお越しのほとんどの方が、 お隣の〝東洋ビル〟に行かれてしまいまアオハルスレッド (モノスレッド・ ダーマスプリングアイ) (麻酔が必要な場合は別途麻酔代¥2,0(税込)を頂いております。 ) 24本 ¥110,000 — 50本 ¥198,000



スレッドリフト きぬがさクリニック梅田院 きぬがさクリニック梅田院 公式 女医担当 婦人科形成 美容外科 皮膚科



Q Tbn And9gcs96l5r21wle3krmxrvtauuxttdbhdhl0isp4 R0czlvje9u Qn Usqp Cau



目の下のくぼみの新着記事2ページ目 アメーバブログ アメブロ



たるみ治療 スプリングアイリフト 顔のたるみ シワ ほうれい線 セオリークリニック 東京 銀座の美容整形外科



ミントリフト Minis と ダーマスプリングリフト ダーマスプリングアイリフト がありました 新宿ラクル美容外科クリニック 山本厚志のブログ



スレッドリフトはメス無しでリフトアップ 京都 滋賀の大西皮フ科形成外科医院 大津石山 四条烏丸



ダーマスプリングリフト 新宿ラクル美容外科クリニック



今日は 切らない目の下のたるみ取り と ダーマスプリングアイリフト の手術がありました 新宿ラクル美容外科クリニック 山本厚志のブログ



ミントリフト Minis と ダーマスプリングリフト ダーマスプリングアイリフト がありました 新宿ラクル美容外科クリニック 山本厚志のブログ



ミントリフト Minis と ダーマスプリングリフト ダーマスプリングアイリフト がありました 新宿ラクル美容外科クリニック 山本厚志のブログ



ダーマスプリングアイリフト 新宿ラクル美容外科クリニック



ダーマスプリングアイリフトが仲間入り きぬがさクリニック大阪 姫路 大阪 なんば 兵庫 姫路 きぬがさクリニック スタッフブログ



ミントリフト Mini S Flex シークレットリフト 新宿ラクル美容外科クリニック



ダーマスプリングリフト 新宿ラクル美容外科クリニック



医療法人創美会 きぬがさクリニック 医療関連会社 写真3件 Facebook



ミントリフト Minis と ダーマスプリングリフト ダーマスプリングアイリフト がありました 新宿ラクル美容外科クリニック 山本厚志のブログ



リフトアップ フェイスリフト 料金表 新宿ラクル美容外科クリニック



スレッドリフト たるみ治療 スレッドリフトのsueクリニック銀座 形成外科 美容外科 美容皮膚科



ダーマスプリングアイリフト ショートスレッドリフト 大阪 姫路 美容外科 きぬがさクリニック 公式 美容皮膚科 形成外科



フェイスリフト うえだ皮膚科内科 高杉院



ダーマスプリングアイリフト の手術がありました 新宿ラクル美容外科クリニック 山本厚志のブログ



ダーマスプリングアイリフト の手術がありました 新宿ラクル美容外科クリニック 山本厚志のブログ



スレッド 引き締め 大阪 心斎橋 梅田 福岡 博多 のwクリニック



スレッドリフト たるみ治療 スレッドリフトのsueクリニック銀座 形成外科 美容外科 美容皮膚科



ダーマスプリングリフト ダーマスプリングアイリフト エクセレントアイ の手術がありました 新宿ラクル美容外科クリニック 山本厚志のブログ



お知らせ 美ブログ



目の下のくぼみの新着記事2ページ目 アメーバブログ アメブロ



ダーマスプリングアイリフト の手術がありました 新宿ラクル美容外科クリニック 山本厚志のブログ



スレッドリフトはメス無しでリフトアップ 京都 滋賀の大西皮フ科形成外科医院 大津石山 四条烏丸



ダーマスプリングアイリフト ショートスレッドリフト 大阪 姫路 美容外科 きぬがさクリニック 公式 美容皮膚科 形成外科



ダーマスプリングアイリフトで目元若返り 福岡のお勧め病院紹介 美女プレス



ダーマスプリングリフトの新着記事 アメーバブログ アメブロ



美ブログ 美ブログ



たるみ治療 スプリングアイリフト 顔のたるみ シワ ほうれい線 セオリークリニック 東京 銀座の美容整形外科



スレッドリフトはメス無しでリフトアップ 京都 滋賀の大西皮フ科形成外科医院 大津石山 四条烏丸



目の下のくぼみの新着記事2ページ目 アメーバブログ アメブロ



ダーマスプリングリフト 新宿ラクル美容外科クリニック



ダーマスプリングアイリフト の手術がありました 新宿ラクル美容外科クリニック 山本厚志のブログ



ミントリフト Mini S Flex シークレットリフト 新宿ラクル美容外科クリニック



クイーンリフト 新宿ラクル美容外科クリニック



スレッドリフトはメス無しでリフトアップ 京都 滋賀の大西皮フ科形成外科医院 大津石山 四条烏丸



フェイスリフト うえだ皮膚科内科 高杉院



ウルトラ小顔コラーゲンリフト 新宿ラクル美容外科クリニック



美容針リフト ショートスレッド 新宿ラクル美容外科クリニック



アップルリフト 4d Thread 新宿ラクル美容外科クリニック



ダーマスプリングリフト 新宿ラクル美容外科クリニック



50代女性の ダーマスプリングアイリフト の手術がありました 新宿ラクル美容外科クリニック 山本厚志のブログ



糸を使ったタルミ治療 新世代スレッドリフト 北九州の美容外科 美容皮膚科 さくらビューティクリニック



顎下のシルエットソフト ロング3dリフト と顎のヒアルロン酸注入 美容のかかりつけ医を目指して



N Cog ニュートンコグ リフト 新宿ラクル美容外科クリニック



ダーマスプリングリフト 新宿ラクル美容外科クリニック



目元のたるみ 新宿ラクル美容外科クリニック



切らない眼瞼下垂と左目尻切開とプチアイリフトの1ヶ月後経過 美容のかかりつけ医を目指して



ダーマスプリングアイリフトで目元若返り 福岡のお勧め病院紹介 美女プレス



目の下のしわの新着記事3ページ目 アメーバブログ アメブロ



お勧めスレッド3種 浜松で美容外科 美容皮膚科ならクリニックデュソレイユ



ダーマスプリングアイリフト 新宿ラクル美容外科クリニック



ダーマスプリングアイリフト の手術がありました 新宿ラクル美容外科クリニック 山本厚志のブログ



スレッドリフトはメス無しでリフトアップ 京都 滋賀の大西皮フ科形成外科医院 大津石山 四条烏丸



Q Tbn And9gcqp93bps24dwsxftjqsbxdke3mihar9r0ukckphkcwa2son8nga Usqp Cau



スレッドリフト たるみ治療 スレッドリフトのsueクリニック銀座 形成外科 美容外科 美容皮膚科



目の下のくぼみの新着記事2ページ目 アメーバブログ アメブロ



14年08月の記事 美容のかかりつけ医を目指して



糸を使ったタルミ治療 新世代スレッドリフト 北九州の美容外科 美容皮膚科 さくらビューティクリニック



アンチエイジング医療の印どうメディカルクリニック 大阪府箕面市



ダーマスプリングアイリフトが仲間入り きぬがさクリニック大阪 姫路 大阪 なんば 兵庫 姫路 きぬがさクリニック スタッフブログ



目の下のくぼみの新着記事2ページ目 アメーバブログ アメブロ



大阪のスレッドリフト レーザー治療専門美容皮膚科 シロノクリニック大阪 梅田



スレッド治療 溶ける糸で切らないフェイスリフト 日本橋駅すぐのゆかスキンクリニック



ダーマスプリングリフト 新宿ラクル美容外科クリニック



切らない眼瞼下垂と左目尻切開とプチアイリフトの1ヶ月後経過 美容のかかりつけ医を目指して



アンチエイジング医療の印どうメディカルクリニック 大阪府箕面市



目の下のしわの新着記事1ページ目 アメーバブログ アメブロ



プチアイリフトの 5日後 経過 目元のくぼみの症例写真 画像 あきこクリニック Cs8011 美容医療の口コミ広場



スレッドリフトはメス無しでリフトアップ 京都 滋賀の大西皮フ科形成外科医院 大津石山 四条烏丸



ダーマスプリングリフト ダーマスプリングアイリフト エクセレントアイ の手術がありました 新宿ラクル美容外科クリニック 山本厚志のブログ



たるみ治療 スプリングアイリフト 顔のたるみ シワ ほうれい線 セオリークリニック 東京 銀座の美容整形外科



ウルトラ小顔コラーゲンリフト 新宿ラクル美容外科クリニック



スレッドリフト たるみ治療 スレッドリフトのsueクリニック銀座 形成外科 美容外科 美容皮膚科



スレッドリフトはメス無しでリフトアップ 京都 滋賀の大西皮フ科形成外科医院 大津石山 四条烏丸



ミントリフト Minis と ダーマスプリングリフト ダーマスプリングアイリフト がありました 新宿ラクル美容外科クリニック 山本厚志のブログ



目の下のしわの新着記事1ページ目 アメーバブログ アメブロ



スレッドリフトセミナー 基礎編 浜松で美容外科 美容皮膚科ならクリニックデュソレイユ



ダーマスプリングアイリフト の手術がありました 新宿ラクル美容外科クリニック 山本厚志のブログ



ミントリフト Minis と ダーマスプリングリフト ダーマスプリングアイリフト がありました 新宿ラクル美容外科クリニック 山本厚志のブログ



今日は 切らない目の下のたるみ取り と ダーマスプリングアイリフト の手術がありました 新宿ラクル美容外科クリニック 山本厚志のブログ



お勧めスレッド3種 浜松で美容外科 美容皮膚科ならクリニックデュソレイユ



N Cog ニュートンコグ スパイラル 新宿ラクル美容外科クリニック



スレッドリフト メソセラピー ボトックスならあおいクリニック銀座



目元のたるみ 新宿ラクル美容外科クリニック



ダーマスプリングアイリフト 新宿ラクル美容外科クリニック



ダーマスプリングリフトアイを導入いたしました 美容のかかりつけ医を目指して



ダーマスプリングリフト 新宿ラクル美容外科クリニック



ダーマスプリングアイリフト と エクセレントアイ の手術がありました 新宿ラクル美容外科クリニック 山本厚志のブログ



ダーマスプリングリフトアイを導入いたしました 美容のかかりつけ医を目指して



ミントリフト Minis と ダーマスプリングリフト ダーマスプリングアイリフト がありました 新宿ラクル美容外科クリニック 山本厚志のブログ


0 件のコメント:
コメントを投稿